abacusdent ESDEGB HU AbacusDent

Aesthetic dentistry

In accordance with the requirements of the 21st century, the primary goal of dentistry at present is not only to regain functionality, but also to achieve an aesthetically perfect appearance even in those, to whom nature has shown less grace. With the help of the research done in recent decades, the development of materials and techniques has entirely kept up with the increasing demands. Aesthetic dentistry uses less and less metallic materials. At the same time, the application of non-metallic materials (acrylic resins, porcelain and ceramics) has become widespread in the dentistry practice.

 

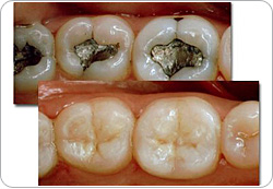
Dental filling

 

A dental filling is a tooth-colored dental restorative material used to restore the function, integrity and aesthetics of missing tooth structure. The structural loss typically results from caries or external trauma. Dental filling can be divided into two broad types: direct filling and indirect filling. All dental fillings can be further classified by their location and size. The technique of direct filling involves placing a soft or malleable filling into the prepared tooth and building up the tooth before the material sets hard. Placement time depends on the size and location of the cavity. The advantage of direct filling is that they usually set quickly and can be placed in a single procedure. Composites are not only used to restore decayed areas but are also used for cosmetic improvements of the smile by changing the color of the teeth or resharping disfigured teeth. The indirect filling -so-called inlay- is a technique of fabricating the filling outside of the mouth using the dental impression of the prepared tooth. Usually a dental technician fabricates the indirect filling from records the dentist has provided of the prepared tooth and the dentist affixes it to the prepared tooth surface. The finished filling is usually bonded permanently with a dental cement. The inlays can be of plastic, porcelain or gold.

 

 

Root Canal Treatment

 

Root canal treatment (also known as endodontic therapy) aims to clean, shape and fill the entire root canal of a tooth. A root canal infection can be caused by several things, including decay, injury and possibly also gum disease. Root canal treatment can repair your damaged tooth without it having to be removed. The aim of root canal treatment is to get rid of the damaged pulp and the bacteria that are causing the infection. It involves removing inflamed or dead nerves and blood vessels from the centre of your tooth. This is done by drilling a hole through the top of your tooth to the root canal and removing the dead tissue. The empty root canal system is then cleaned, disinfected and filled with a special filling material. The procedure may be carried out over one or two visits to your dentist and it is completely painless.

 

 

Porcelain veneers

 

This method is a revolutionary solution is aesthetic dentistry.
In this case, the desired aesthetic effect is achieved by a correction that requires only a minimal loss of own teeth. It may happen that we wish to restore the edge of the central incisor, and the aesthetic effect of a simple filling would not be satisfactory. In this case, a part of the external surface of the tooth is removed, and then a thin layer of porcelain (individually designed by the dental technician) is affixed to the tooth.

 

 

Inlay/Onlay

 

Inlays are similar to fillings, but they are prepared in a laboratory and then adjusted to the tooth with special adhesive.The inlays can be of plastic, porcelain or gold.
This process requires minimum two visits to the dentist.

 

 



 

During the first visit, the dentist removes the old filling or decay and takes an impression of the tooth . A temporary filling is placed to protect the tooth while the laboratory uses the mould to make the inlay or onlay.

 

 

 

 

 

On the second visit, the dentist removes the temporary filling and fixes the inlay or onlay. Inlays are very strong and even last longer than the fillings.